|
ѹα 7 ȿ ۵ ۵ ۼ ipּҷ Ȯ ۵Դϴ. 3,900 350 ȯ ȸ 99.9% ̻ , 20 ӻ ȿ , Ƿ ƴմϴ. Ű, ü, , , ȯ ġ ۿϴ 3,900ܰ ǥ ߿, ´ ǥ ã .Ŭ. ǥغ ǰ ش Ѳ ؼϰ մϴ. , ٷ , ġ , ٰų մϴ. ȯ λ ġ ۿ ǥغ ã .Ŭ. ġ ߴϰ Ϻ ȸ ŵϴ. ǰ ġ ȸ ȿ 10 ̻ մϴ. ǥ ǰ Ʈ ȳ .Ŭ. ϱ http://www.najari.co.kr .Ŭ. [ ] 08 ~ 23 ȭ [־] 010-6659-3733, [߰]010-6887-3733, []0502-511-2320 ( 2 )
Ʒ б ̹ α Ű ξϴ. |
| ǰ ڸǥغ ijǥħ ħ ġ , ¦ , ʿ ȿ Ƿ ƴ |
![]() |
| |||||||||||||
|
|
||||||||||||
|
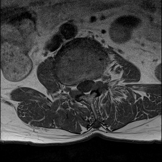
Ӵϲ ɿ ô ô 㸮 ٸ ̾ϴ. ϵ Ͻð ܻ 㸮 20⵿ ͽϴ. mri ˻ ɿ Ȳ ʹ ؼ Ȳ̶ ߽ϴ. ϻȰ ϰ 鼭 ½ϴ. ̴ ø鼭 Ͻô Ȳ ̷ ġ ص ȸ ϴ. δ Ҵµ, ù ȸԲ ˷ֽ ϰ β ϰ, ˷ֽ ü ƮĪ ϸ鼭 ȭǸ鼭 Ӵϲ ȸų ְ ǰ, β 鼭 ʴ β ؾϴ ŷο 1ϸ ijħ ڸ ǥ Ʈ ߽ϴ. ȸ ȭϽø鼭 Ϸ簡 ٸ ȸǽð 4ְ Ǿ Ǯ鼭 ¦ ҽϴ. ħ ȸ ȭϸ鼭 ڼ ü ƮĪ ϴ. ȥڼ Ͻʴϴ. ٳø鼭 ó Ͻ ʴϴ. ̾ ְ ̳ ߵ ʰ ϴ ȸԲ Ͻʴϴ. ʹ ϸ鼭 ϴ. Ȩ - ϱ ٴ Ȳ MRIԴϴ. |
| COMMENT: | ||||
| Ȩ | ֹȣ : 20100615122415 ֹ߰ȣ : 20140707120348ksjsy**** ֹ߰ȣ : 20150502093343syske**** ֹ߰ȣ : 20150508200512syske**** ֹ߰ȣ : 20150520215529knhky*** *輼 Դϴ. ü 5 Ʈ 1 ϼ̽ϴ | 06/06 [11:59] | ||
| Ȩ | http://najari.kr/Board/index.php?Code=free1&action=View&No=5491 | 08/11 [08:08] | ||
|
| 1 - 500 / 5604 |
| No | ̸ | ¥ | ȸ |
| 7364 | 350 ȯ ش ġ ʵ | Ȩ | 2021-02-03 | 13747 |
| 7186 | ༺ Ÿ ʴ ĥ 켱 ɽϴ. - ű | Ÿ | 2019-04-05 | 8923 |
| 6986 | ڸ ǥغ ǻ. | Ȩ | 2017-01-05 | 6475 |
| 6816 | ǥغ ϳ ϰ ȸ ٴ , | 2015-09-10 | 11680 | |
| 6812 | ũ , ? ȿ |
2015-09-05 | 19918 | |
| 6732 | 9736tynam**** ̷ óϰ ? | najaribed | 2015-05-25 | 8528 |
| 6681 | ڸǥغ , ȸŰ ü ƮĪ ... | Ȩ | 2015-02-04 | 12162 |
| 6680 | 5 ̰ ΰ ڰ 鹫ȣ ȸ Ͽ ص Ϻ ؼ λ Ʋ .. | Ȩ | 2015-02-04 | 12199 |
| 6654 | е ġȿ ʱ ã 캸 | Ȩ | 2014-12-24 | 48564 |
| 6647 | ¿ ڸǥغ (4°) -ı [1] | * | 2014-12-12 | 25483 |
| 6638 | .ô ѹ溴 ũ ĥ ȸǴ ġ [2] | * | 2014-11-30 | 14558 |
| 6637 | ġḦ ߴ ̸ ȸ ִ 㿡 帳ϴ [2] | ** | 2014-11-30 | 17571 |
| 6587 | ڸǥغ 6°.. ϴ 㸮ũ [2] | *谡* | 2014-07-30 | 13521 |
| 6586 | ̷ ġῡ ȭǰ ־ ؾ Ѵٴ * mri ȸǾϴ. |
*Իʱ | 2014-07-30 | 19671 |
| 6585 | [ θ ʵ] ϽżҰ. ġᵵ ȿ ϰ ȭ ǰ ¿ ǥغ.. | ckrrkrckrr**DZ۸ | 2014-07-30 | 19223 |
| 6509 | Ϸ縦 ڰ 2 6 ӿ Ҵ ߰ ϴ. [2] | alrud737*** | 2014-03-30 | 17530 |
| 6481 | [系]ڴ ġ ȯڵ鵵 ȸŲ. | Ȩ | 2014-02-24 | 11548 |
| 6423 | ڸǥغ 20 ġ ̺ ġ... [2] | * | 2013-12-18 | 16412 |
| 6393 | ڸֽȸ 2025 7 ī 2,~7, 12 κ Һ ȳ |
Ȩ | 2013-11-13 | 11965 |
| 6179 | ڸ ǥغ ٰ ͳ ̴ е ϴ! [3] | *() | 2013-01-05 | 22705 |
| Re | ڸǥغ ٰž ϴ Ư ټο ˸ ִ ۳Դϴ. [1] | Ȩ | 2013-04-15 | 13272 |
| 6050 | ŷȸ, ľû, û ̹ Ǽ 翡 Խ θ Ȯ 翬Դϴ. | Ȩ | 2012-06-24 | 15003 |
| 6015 | ũ ް ȸ 2 ҰԴϴ. [4] |
* | 2012-04-26 | 15813 |
| 5952 | 30 ǻ縦 2,000 ˻ ġ ȿ Ҿ. ּ. ߴ... [5] | mkl353** | 2011-06-06 | 49667 |
| 5904 | ũ 3 ũ Ż ް ȣ Դϴ. [3] | **bruces** | 2011-11-18 | 14174 |
| 5846 | ũ õ 鿩 ؾ Ѵٴ ũ ڸǥغ 2 ʰ ġ [3] | * | 2011-05-14 | 24618 |
| 5780 | 30 ǻ縦 2.000 ˻ ġ ȿϴ. Ҿ. ּ. [2] | mkl353** | 2011-06-06 | 31444 |
| 5738 | [ ]2011 3ȣ 2030 ű! / 1 ̷ ڸ |
Ȩ | 2011-04-19 | 30877 |
| 5626 | , е ǥغ ġ | ġ | 2010-11-15 | 80233 |
| 5623 | ̸ ġ ȿ ̸ ũ ڸ Ŀô . | Ȩ | 2010-12-07 | 101162 |
| 5619 | ڸ ġ ʵԴϴ. [4] | ڸġ | 2010-12-05 | 18395 |
| 5569 | ̰ ΰ Բ ȿ ƮĪε ȣ | ̰ ġ | 2010-11-15 | 39190 |
| 5568 | ũ ¥ Ϸ ǥغ ϰ ġر |
μ*Ա۸ | 2010-11-15 | 30860 |
| 5567 | ڸǥغ մϴ..ũ ϰ ȸ ʱ [6] |
Ȼ*DZ | 2010-11-15 | 33108 |
| 5566 | 10 ̷ պġ ΰ ȿ ڸǥغ 4 |
ȿ* | 2010-11-15 | 46957 |
| 5565 | ʹ űմϴ.-ũ Ŀ ʴ ı |
useonh | 2010-11-15 | 31105 |
| 5564 | 1⵿ Ƿ,,ũ,ڸ,,,Ҹ MRI,ֻҰ 5ֻ ġ [4] |
*Ա۸ | 2010-11-15 | 33524 |
| 4406 | ġ ȯ û ġ ǥغ | *th23** | 2009-11-19 | 20741 |
| 81 | ũ ǻ. [5] | Ȩ | 2002-09-28 | 54193 |
| 3 | ũ ڸ Ÿ ڸ ϱ |
ǥغ ȸ | 2002-09-11 | 75612 |
| 7584 | Ҹ Ű ̺İ Ȱ Ű | anido | 2025-12-27 | 230 |
| 7583 | ***pbs060 Ұ ڸ ߽ϴ. | * | 2025-11-07 | 154 |
| 7582 | 20 Ѱ ϸ鼭 ģ ģ Ұϸ 8 ߾ | * | 2025-10-24 | 80 |
| 7581 | Ի ũ ؼ | * | 2025-10-12 | 134 |
| 7574 | ȳϼ, ȸ Ƽ ڰ ʾϴ. ϰ ģ 㿡 帳ϴ. Ϸ Ǽ. * , ؼ Ը | ** | 2025-09-17 | 512 |
| 7569 | ũ ȭ | zero40 | 2025-08-09 | 185 |
| 7567 | 鿪 ȯ . ô, ô߿, ǼǺ, 鿪 , ν 鿪 |
Ȩ | 2025-07-23 | 406 |
| 7566 | ϰ 㿡 ־ ־ ϴ. | * | 2025-07-16 | 186 |
| 7565 | ũ ļ Ӹ ̱ ϻ Ȱ Ȳ̾µ õ ڸǥغ ϰԵǾ | **rasakik** | 2025-06-30 | 216 |
| 7564 | մϴ. ڸ ߵ ƴ ϴ. | * | 2025-06-08 | 296 |
| 7563 | ڸ ũ ġǰ 20° ̹ Ӱ ߽ϴ^^ | * | 2025-04-16 | 289 |
| 7562 | 20 ũ ʰ ȸ߰, ֱ ߴ 㸮ũ ϰ ġǴ ıԴϴ.. | * | 2025-04-04 | 531 |
| 7561 | ʹ ؼ | OLORA | 2025-03-24 | 336 |
| 7560 | ڸ ְԴϴ. | ** | 2025-02-28 | 274 |
| 7559 | 20 ڸ ı |
* | 2025-02-22 | 319 |
| 7558 | [ũ] Ϻϰ ȣǾ ̴ ȯڿ ı | han145** | 2025-01-20 | 599 |
| 7557 | ڸ ϰ ǰ 10 Ѱ ߰ ƿ. | հ | 2025-01-13 | 368 |
| 7556 | ְ Դϴ [1] | 28.84.61 | 2025-01-06 | 303 |
| 7555 | ʰ ȸ ڸǥغ 5 ı | * | 2024-12-17 | 485 |
| 7554 | 20 ũ ʰ ȸǰ ݵ ϰ ֽϴ. | * | 2024-12-16 | 403 |
| 7553 | 15⵿ ı | * | 2024-11-21 | 360 |
| 7552 | [бԴϴ] | 2024-11-17 | 302 | |
| 7551 | ڸ ڸ ġ߽ϴ | * | 2024-11-11 | 453 |
| 7550 | ڸ ǥغ ı | â* | 2024-11-10 | 293 |
| 7549 | 20 ° ڸǥغ ۿ | * | 2024-11-09 | 430 |
| 7548 | ڸǥغ Ŀ 8 ߾ | ***ssamb* | 2024-10-28 | 291 |
| 7547 | 10 Ѱ ڸǥغ ߽ϴ. ǥظƮ մϴ. | **hilcld** | 2024-10-15 | 526 |
| 7546 | ȿ 1 ȿ ü û ʵ | ڸ Ŵ | 2024-10-10 | 692 |
| 7545 | ڸǥغ ȿ ƿ. ٸ մϴ. ؿ Ҿ̶ ڸ ϰڽϴ. | *ְ* | 2024-10-06 | 355 |
| 7544 | Ӹ ġǰ ڸ Ǵ. | *Ÿ | 2024-09-25 | 472 |
| 7543 | ŷ Ա | ŷȫ | 2024-09-25 | 258 |
| 7542 | ϴϱ Ḳ ־ ϰ ֽϴ. | ebong5** | 2024-09-22 | 390 |
| 7541 | ¥ ƿ ũִºе鲲 õ̿ | os668 | 2024-09-08 | 423 |
| 7540 | Դϴ. | * | 2024-06-17 | 1220 |
| 7539 | 14 ߽ϴ. | *ſ | 2024-06-16 | 402 |
| 7538 | 2009 3 ؼ 15 ߾. | 27554 μ* | 2024-06-14 | 1088 |
| 7537 | 15 ϰ Ʈ 2 Ϸµ... | arsog**** | 2024-06-13 | 879 |
| 7536 | ߵũ, 11° ڸǥغ ϰ ֽϴ | α* | 2024-05-30 | 771 |
| 7535 | 5 ߴ ƾ. | * | 2024-05-22 | 504 |
| 7534 | ڸ 㸮 ̺Ѱ !!! | *sdlswkd402* | 2024-05-18 | 766 |
| 7533 | ũ ȯڿ ڸǥغ ȿ ð Ӵ ߽ϴ. | * | 2024-05-08 | 1022 |
| 7532 | 20210906152350***kycast*** мԴϴ. | ȸ | 2024-05-04 | 1933 |
| 7531 | Ʈ ְ | ****ichjung326*** | 2024-04-07 | 650 |
| 7530 | 5° Ұ߰ 6° ҰϷ 湮߽ϴ. | uswh996** | 2024-03-25 | 536 |
| 7529 | ڸ ϴ. ݹ , Ȱϴ. | ***kstn11****. | 2024-02-23 | 1300 |
| 7528 | ı-ũ 㸮 ȿ ƿ | niperfec | 2024-02-14 | 1034 |
| 7527 | ڸ 10Ѱ Դϴ. | 2024-02-13 | 478 | |
| 7526 | ڸ 10 ı | 870961 | 2024-02-01 | 1116 |
| 7525 | 20 ũ Ȳ ȸǾϴ. | * | 2024-01-25 | 1166 |
| 7524 | Դϴ | ̿ | 2024-01-23 | 578 |
| 7523 | 30 ǻ縦 2.000 ˻ ġ ȿϴ. Ҿ. ּߴ. | Ȩ | 2024-01-22 | 2098 |
| 7522 | ڸǥغ ı [4] | ڼ* | 2024-01-17 | 1262 |
| 7521 | ũ ڸı [2] | 092501 | 2024-01-05 | 1054 |
| 7520 | Ƶ Ӹ ļ 15 Ͽ ڸ ְ.. [2] | * | 2023-12-22 | 708 |
| 7519 | ļ ڴ ̾. ϰ Ϸ ߴµ ʹ ȿ ƿ. [1] | ***ykjk6*** | 2023-12-08 | 1352 |
| 7518 | ڰ̿ ̰ 2009 ڸǥغ❤️❤️ [3] | ***ohid*** | 2023-11-24 | 1923 |
| 7517 | ̺ 10 ϰ ֽϴ. [4] | ***apae | 2023-11-09 | 591 |
| 7516 | е ֹñ ٶ鼭~~ ı ϴ. [2] | ¹* | 2023-11-01 | 548 |
| 7515 | ⼭ ġ ÷ е о ñ ٶϴ. | | 2023-10-24 | 1232 |
| 7514 | ڸ 15 ֽϴ [1] | *̺ | 2023-10-20 | 1242 |
| 7513 | ħ е Ǿ űմϴ. [2] | ***1033865*** | 2023-10-07 | 1184 |
| 7512 | ǰŴ ڸ ũ ְ~~ [2] | * | 2023-10-05 | 1454 |
| 7511 | Test | ö | 2023-09-07 | 423 |
| 7510 | 20° ڸ ϰ־ [6] | * | 2023-08-04 | 1467 |
| 7509 | ڸǥغ 7 ı [4] | *ȫ | 2023-08-03 | 1893 |
| 7508 | ı- ļ ϸ鼭 [2] | * | 2023-07-12 | 1131 |
| 7507 | ־ ϰ ڷ ؼ ڸ ı [6] | * | 2023-06-29 | 795 |
| 7506 | ߵ ũ 㸮ũ ƽϰ ؼҵǴ ڸԴϴ. [4] | ose303 | 2023-06-27 | 2215 |
| 7505 | ũ źе ѹ Ẹ ȸ մϴ [5] | ***baldk*** | 2023-06-24 | 1021 |
| 7504 | ǿ ġ ʴ Ѳ ̻ ٳϴ. [3] | ***yy8022*** | 2023-06-08 | 1514 |
| 7503 | ó ű Բ 鸰 ȯ ȯ Ȳ ߽ϴ [2] | ****ne828**** | 2023-06-07 | 1473 |
| 7502 | Ը ᵵ ڰ Ͼ 㸮 ʹµ Ȯ ˴ϴ. [2] | ־缭 | 2023-06-02 | 1175 |
| 7500 | ũ 㸮ũ ڸ ± [6] | ****succes**** | 2023-05-31 | 1613 |
| 7499 | Ϻ ϰ ڸ鼭 ȸŰ ȯ Ī 1500 | Ȩ | 2023-05-26 | 866 |
| 7498 | ڸ Ƽ ڸ 㸮 ϴ. [3] | *sm566*** | 2023-05-16 | 1084 |
| 7497 | ڸ - ķ 㸮 ħ ڰ ϴ [4] | * | 2023-05-04 | 1446 |
| 7495 | ڸ ǰ ư, ߿伺 ǰ Ѵ,,, [9] | * | 2023-04-19 | 788 |
| 7494 | ļ ڸ 16⵿ ı ϴ.. õմϴ. [4] |
* | 2023-04-11 | 1595 |
| 7493 | ũ ڰ ߴµ ʰ ֽϴ. [4] | * | 2023-04-02 | 1904 |
| 7492 | ؾ Ѵٴ õ/ ũ 㸮 ũ ſ پ ȯ Ҵٰ õؼ ~~ [2] | **attii*** | 2023-03-28 | 1538 |
| 7491 | ļ ȹٷ ߴµ ù ȹٷ ϰ ϴ. [1] | ***j24piz*** | 2023-03-27 | 771 |
| 7490 | ڸ ϸ鼭 ĥ ΰ ɰ [3] | * | 2023-03-14 | 1682 |
| 7489 | ũ [3] | * | 2023-02-13 | 698 |
| 7488 | ڸ ϸ鼭 ϰ ڰ ֽϴ [1] | *ideof1** | 2023-02-08 | 890 |
| 7487 | ũ 㸮ũ ʰ , پ ȯ Բ ϴ. [5] | **bc342** | 2023-02-08 | 1474 |
| 7486 | Ḳ ҷ ȱ ڸ źϸ ġ ȿ ƿ [4] | *Ǿ | 2023-02-05 | 1121 |
| 7485 | ٸı Űֻ 㸮 Ű漺 ߴµ ȿ ϰ~~~ [6] | ****igga7**** | 2023-01-29 | 2303 |
| 7484 | ũ ϰ ڴʰ ڸǥغ ˰ Ǿ 10 [2] | * | 2023-01-10 | 1296 |
| 7481 | 18 Ƴ ϰ ũ ݹ ȸǾٸ õϴ ڸǥغ [3] | **chul89**** | 2022-11-17 | 1358 |
| 7480 | ϴ ɰῡ Ǿٰ û ȸ߾. [3] | *̿ | 2022-11-04 | 1075 |
| 7478 | Ŷ ϰ 5 µ ˻翡 索 ȸ Ǿٰ մϴ. [3] | **1026597** | 2022-11-01 | 1296 |
| 7477 | 뺧 ǥ, ǥ ġ ġ ¦ ǰ ȳ |
Ȩ | 2022-10-30 | 1142 |
| 7476 | Ȩ ȭ ߰κ | Ȩ | 2022-10-27 | 1624 |
| 7475 | () ̼ϰԶ Ʋ ȯ . | Ȩ | 2022-10-22 | 2461 |
| 7474 | 㸮 Ƶ źϸ ȿ ϴ ͵ ߰մϴ. [4] | ***ajwjin6*** | 2022-10-14 | 1365 |
| 7473 | ũ ڸ ڸ Բ 10 థ ^^ [6] | * | 2022-10-14 | 1826 |
| 7472 | ũε Ʋ ϰ Ѱ ڰ̵ Ȯ մϴ. [3] | ***sunny69**** | 2022-10-12 | 1380 |
| 7471 | 10 Ѱ Ӹ ȱ ʹ ߴµ ĥ ! [2] | ***inyoung0002 | 2022-10-12 | 1504 |
| 7470 | ũ ȯڿ ʰ ڸǥع谳 ȿ ƿ [2] | ***asnts115*** | 2022-10-06 | 1579 |
| 7469 | ... [1] | ο* | 2022-10-06 | 1561 |
| 7468 | 2 δ µ ϰ ־ [3] | * | 2022-08-27 | 2219 |
| 7467 | ù ó 3 뿡 ó ḷ ϴ. [2] | * | 2022-08-26 | 2411 |
| 7466 | ũ ؼ 14 ǰ ֽϴ մϴ [3] | * | 2022-08-26 | 1041 |
| 7465 | 10 ı-ٸ ؼ մϴ [4] | * | 2022-08-09 | 1173 |
| 7463 | 2008 ó ߰ 4̼ 4 ؼ ֽϴ. [4] | * | 2022-08-03 | 663 |
| 7462 | ũ 20 ߺ߰ ȸ ϰ ڸǥغ ϰ 10 ̻ ʰ ȸ [4] | *̵ | 2022-07-27 | 1870 |
| 7461 | ũ ߴµ ϸ鼭 ȸǾϴ. [2] | * | 2022-07-20 | 1056 |
| 7460 | Ű氨м Ŀ ʴ ڸ Ŀcڸ . [2] | *ɼ | 2022-07-18 | 1730 |
| 7459 | ̷ Ҹΰ ߴµ ڸ ϸ鼭 ڰ Ǿϴ [3] | * | 2022-07-15 | 1040 |
| 7458 | ڸ, ũ ° [1] | * | 2022-07-15 | 1783 |
| 7457 | 10 ƿ [2] | * | 2022-07-11 | 1059 |
| 7456 | 5 Ǿ Դϴ. [2] | *ٸ | 2022-07-06 | 2121 |
| 7455 | Ȩ ȭ | Ȩ | 2022-06-27 | 1709 |
| 7454 | ڸǥغ ƴ ٸ Դ Ҹŭ Դϴ. [2] | *Ѽ | 2022-06-20 | 1386 |
| 7450 | 13° Ϸ絵 ϰ ̷ ... [4] | * | 2022-05-30 | 2026 |
| 7449 | ũ 㸮ũ ϴٰ ڸǥغԸ 10 Ѿ [8] | ukikuk | 2022-05-17 | 1585 |
| 7448 | ʴ ũ ʴ ʰ Ҿ [2] | 1067671 | 2022-05-09 | 968 |
| 7447 | ũ ȯ ı [2] | * | 2022-05-02 | 1328 |
| 7446 | Ѵ Ѱ û ȸϴ ıԴϴ [2] | * | 2022-04-28 | 1509 |
| 7445 | źϸ ڸ ְ ȿ ı [2] | * | 2022-04-12 | 1819 |
| 7444 | ༺ 㸮ũ Ǹ..ü 10° ֽϴ. [6] | * | 2022-04-08 | 2190 |
| 7440 | ڸ ƿ [2] | hseo9 | 2022-03-08 | 1332 |
| 7439 | ڸ ߰ ı [3] |
***lea208*** | 2022-03-07 | 1545 |
| 7438 | ߰ Ϸ Դ ϴ [6] | 2022-03-02 | 1231 | |
| 7437 | ڸ ı [3] | * | 2022-02-06 | 1150 |
| 7436 | ũ ־ ϴ [1] | * | 2022-02-06 | 1471 |
| 7435 | ڸ ڸ ϰ ֽϴ~ [2] | * | 2022-01-21 | 924 |
| 7434 | ϰ 㸮 ° ڸ λ Դϴ [3] | * | 2022-01-18 | 1297 |
| 7433 | ڸǥغ ȭ չ ȯ ϴ. [6] | xx**z11932*** | 2022-01-04 | 2495 |
| 7432 | ڸ ǥغ ũ ġϴµ ǰ̳ [4] | 2021-12-31 | 2207 | |
| 7431 | ڸ ũ ΰ ̰ źϸ ڸ ĿCڸ [8] | **oala207*** | 2021-12-31 | 2594 |
| 7430 | ڸ ũ ߰ Ż پ ȯ ѹġ ġẸ ġ ϴ Դϴ. [3] | ***romajx**** | 2021-12-21 | 2010 |
| 7429 | źϸ, ڸ Ÿ հ ȭǾ մϴ [3] | *jwb* | 2021-12-21 | 2141 |
| 7428 | ũ δȭ, ġῡ ڸ Ϻմϴ. [4] | **skim55 | 2021-12-21 | 1656 |
| 7427 | ũ ߰Ż ħ η ִ , ó ٷ . [2] | * | 2021-12-16 | 1656 |
| 7426 | , ڸ õմϴ [6] | *ڼ | 2021-12-11 | 1170 |
| 7425 | ⱸı ڸ ũ ô پ ù پ >> [3] | *ȯ | 2021-12-07 | 3872 |
| 7424 | ȸԲ Ȱ ִٰ Ͻô 10 ̰ Ȱ ʾƿ. [3] | **kdus062*** | 2021-12-07 | 2029 |
| 7423 | ũ ڸ õմϴ^^ [2] | * | 2021-12-07 | 2020 |
| 7422 | ڸǥغ ȸ 10°- ݱ , ȱ, 㸮 ϴ. [3] | ***lado6*** | 2021-11-20 | 1608 |
| 7421 | ʹ ļ ڸǥغ ٴ ʰ ֽϴ [2] | *ȭ | 2021-11-19 | 1117 |
| 7420 | ϱ ̺ 2005ΰ ߴµ Դϴ. [1] | * | 2021-11-18 | 739 |
| 7419 | ε ĵ ̹ 㸮 ȸĪ ݺĪ Ѳ . [4] | *btjd553** | 2021-11-16 | 2713 |
| 7418 | ũ ü̳ ϰų Ϸ ϴ 㸮ũ źе õմϴ [3] | * | 2021-10-29 | 1927 |
| 7417 | ڸ ǥغ ijħ ǥظƮ ī ȳԴϴ. | Ȩ | 2021-10-18 | 833 |
| 7416 | ڸǥغ ijħ ſī Һ ȳ |
Ȩ | 2021-10-18 | 771 |
| 7415 | ̸ ߰ ڸ پ ű ߾ [2] | *ӿ | 2021-10-12 | 2139 |
| 7414 | ı- ֹð , Ͻô е ϳ~~ [2] | * | 2021-10-10 | 1420 |
| 7413 | Ӿ ĵ Ḳ ġῡ ű ۿ ϴ Դϴ. [2] | racle7 | 2021-10-10 | 2329 |
| 7412 | źϸ ڸ ĿCڸ ڸǥغ ı [3] | 2021-10-06 | 2404 | |
| 7411 | ̰ Ϸ 50 پ ƿ. [2] | * | 2021-10-01 | 2684 |
| 7410 | ڸ ϰ , . [7] | հ | 2021-09-30 | 3244 |
| 7409 | 10 ı ũ ٽ ʰ ־ [1] | *hhm06** | 2021-09-30 | 1705 |
| 7408 | 㸮 ļ 20 Ѱ ƿ [1] | * | 2021-09-29 | 2279 |
| 7407 | ũ ĺ ϱ ڸ ǥغ 17 մϴ. [2] | * | 2021-09-18 | 2394 |
| 7406 | ڸ ũ ؾ ߾µ п ʰ 10 Ѱ ġ Ȳ մϴ. [6] | **assmin*** | 2021-09-16 | 1608 |
| 7405 | ũ ϰ ڸǥغ [2] | * | 2021-09-09 | 1656 |
| 7404 | ũ Ŀ ߴµ ̶ ļ ڸ ϰ [4] | * | 2021-09-09 | 1739 |
| 7403 | ũ 㸮 ũ ʰ 10 ߴµ Դϴ. [3] | * | 2021-08-31 | 1878 |
| 7402 | ڸ ı-ũ ߴµ [5] | * | 2021-08-30 | 3415 |
| 7400 | ٰݰ ȯ Ͽ 20° ֽϴ. [4] | * | 2021-08-22 | 3835 |
| 7399 | ڸ ϸ鼭 10 ũ ʰ ֽϴ [2] | ¼* * | 2021-08-10 | 3409 |
| 7397 | 谳 ؼ ƿ!! [2] | * | 2021-08-10 | 4192 |
| 7395 | ũ 㸮ũ ȸ Դϴ. [3] | 1076655 | 2021-07-27 | 2439 |
| 7394 | ڸǥغ 15 Ѱ Դϴ. [4] | * | 2021-07-25 | 2226 |
| 7393 | ĥ Ż ̸ θ Ҹ Ѳ [2] | ****unok72**** | 2021-07-18 | 3640 |
| 7392 | ڸ ڸ ı [3] | * | 2021-07-12 | 1487 |
| 7391 | ߿ ̶ ĪϿ [2] | * | 2021-07-04 | 1776 |
| 7390 | ũ ô, ļ Ͽ ϴµ ϴ. [2] | * | 2021-06-18 | 1702 |
| 7389 | ũ ߰Ż Ŀ ʰ ȸϰ 7° Դϴ [5] | ***g263**** | 2021-05-26 | 2245 |
| 7388 | 20 ı - ڰ̴ ٲ ٷ [2] | * | 2021-05-19 | 1057 |
| 7387 | Ʈ ڽϴ. [8] | * | 2021-05-14 | 2609 |
| 7386 | ȯ 350 ߿, ش , Ѳ ȸ ʵ | Ȩ | 2021-05-05 | 10137 |
| 7385 | ڸ ٰ ϰ 10 ֽϴ. [2] | ***dm052*** | 2021-05-01 | 1377 |
| 7384 | ڸ κ 10 Ұ [6] | * | 2021-04-26 | 3260 |
| 7383 | ڸ ǥعԸ ũ 14 Ѿϴ [7] | *ֹ | 2021-04-21 | 2463 |
| 7382 | Ƶ ڸ ǥغ ı ~~ [4] | *ż | 2021-04-20 | 1325 |
| 7381 | հ Ͽ ũ ް Ͽ 10̻ ־ [2] | * | 2021-04-19 | 1200 |
| 7380 | ũ ô ߴµ ڸ մϴ. [3] | * | 2021-04-18 | 1895 |
| 7379 | ڴٰ ٸ 㳪 ű߾., [3] | * | 2021-04-14 | 3912 |
| 7378 | ũ 1 ǰ C/T Դϴ [4] | * | 2021-04-01 | 2132 |
| 7377 | ũ 뿡 ȱ ķ,,, [7] | *Ȳ | 2021-03-30 | 2628 |
| 7376 | ũ ڸ 10 ı [5] | *⿱ | 2021-03-30 | 1663 |
| 7375 | ȸ ȸ˴ϴ. [6] | *jw86**** | 2021-03-27 | 2793 |
| 7374 | ڸκı [1] | * | 2021-03-14 | 950 |
| 7373 | ũ ڸ ǥغ ϴ [2] | * | 2021-03-04 | 2657 |
| 7372 | ǥعı 10ı-ũ ü ߴµ ü ߾ [7] | * | 2021-01-19 | 2506 |
| 7370 | ڸ 10и [1] | * | 2021-03-01 | 2868 |
| 7369 | ڸ п ȱ ġ ̴̺. [5] | * | 2021-02-26 | 2518 |
| 7368 | ٴ ڸ ŭ ʾƼ ־~^^ [3] | * | 2021-02-08 | 2019 |
| 7367 | , ѵ ڸ ϸ鼭 [4] | * | 2021-02-04 | 1204 |
| 7366 | ڰ 17° Դϴ. [2] | * | 2021-02-03 | 1329 |
| 7365 | źϸ ũ ؼ 12⵿ ؼ 籸-- [2] | ***lsgml48*** | 2021-02-03 | 1842 |
| 7363 | ļ Ͻźп õ帮 ͽϴ. [4] | * | 2021-02-02 | 1543 |
| 7362 | ڸ ǥغ ϰ ֽϴ [3] | * | 2021-01-30 | 2170 |
| 7352 | źϸ̶ ڸ 10° ֻ [2] | * | 2021-01-27 | 2116 |
| 7351 | ʳ ߳~ [3] | * | 2021-01-27 | 1595 |
| 7350 | Ͻ е ڸ õ 帳ϴ. [4] | * | 2021-01-27 | 1294 |
| 7349 | ڸ ǥغ ı-10° ϰ ֽϴ [2] | *ǿ | 2021-01-26 | 975 |
| 7348 | ٳ൵ ʾ ŷе ¿ ڸ ϰ ʰ ȸ... [5] | * | 2021-01-16 | 3899 |
| 7347 | ũ عǾϴ. [7] | *̿ | 2021-01-12 | 4140 |
| 7346 | ڸ ũ Ǿ ȿ ƹ ߰ մϴ [3] | * | 2021-01-12 | 2929 |
| 7345 | ũ , , 鹫ȣ , ٸ, 㸮 Ȳ ڸǥغ ı [3] | *ö | 2021-01-12 | 2136 |
| 7344 | ڸ ũ 1Ⱑ ı->ݽŹǷ ߴµ ڿ [2] | ѳ* | 2021-01-04 | 3579 |
| 7343 | ũ 5 ̴ ü ڸǥغ 9 [2] | * | 2020-12-29 | 2520 |
| 7342 | ڸ ı [2] | *¼ | 2020-12-24 | 1951 |
| 7341 | ũ ΰũ û ϵ ڸǥغ ǰϰ Ǿϴ [4] | * | 2020-12-19 | 3236 |
| 7339 | ̽ʿ 10Ⱓ̴. [1] | * | 2020-12-02 | 2167 |
| 7338 | ũ Ŀ ް ڸǥغԷ ȸ ϰ 10 ı [2] | ֿ* | 2020-11-13 | 1775 |
| 7337 | ô߱ ڸǥغ [6] | * | 2020-10-30 | 3243 |
| 7336 | 10 Ѱ ־ [3] | * | 2020-10-23 | 2713 |
| 7335 | ǿ ġῡ ʴ ũ ڸ źϸ... [1] | * | 2020-10-06 | 2620 |
| 7334 | ũ ߺ 䱸 ް ڸ ǥغ ı [4] | *ȸ | 2020-10-05 | 2605 |
| 7333 | ٸ ı Ҹ ߴµ ϳ .̰ ż.. [3] | * | 2020-09-18 | 2719 |
| 7331 | ġ 㸮 10 ϴٰ [2] | *hu0707** | 2020-09-11 | 2040 |
| 7330 | ڸ ǥغ 10 ı [2] | ä* | 2020-09-05 | 2613 |
| 7329 | ũ Ͽ ڸ ߾ ֽϴ [3] | * | 2020-09-03 | 1810 |
| 7328 | Ϳ~~ ٽ ã [4] | * | 2020-09-03 | 2694 |
| 7327 | ڸ Ŀcڸ δȭ Ƿ ũ 㸮ũ [2] | ****hs7007**** | 2020-09-01 | 4529 |
| 7326 | ȭ Ҹ źϸ ũ, 㸮ũ [2] | *ó | 2020-09-01 | 3922 |
| 7325 | ڸ ǥغ 19⸸ ٽ ֹմϴ [1] | *asycur**** | 2020-08-31 | 1541 |
| 7324 | ȿ Źմϴ. [2] | zero0055 | 2020-08-28 | 2456 |
| 7323 | 9 ڸ ı-ٴ е鲲 õϰ ֽϴ [3] | * | 2020-08-25 | 2777 |
| 7322 | ũ ű ڸ ı [3] | * | 2020-08-25 | 1922 |
| 7321 | ũ ̸ Ҹ źϸ ߴµ . [2] | icon8 | 2020-08-25 | 1977 |
| 7319 | 15 ڸ źϸ Ƽ ؼ ı-̸ [3] | * | 2020-08-25 | 3329 |
| 7317 | ũ ݽŹϸ ڸ 5 ı [3] | * | 2020-08-18 | 2669 |
| 7316 | ڸ õմϴ~ ߿ ſ~ [4] | * | 2020-08-14 | 1172 |
| 7315 | Ұ ؼ 10 Ѱ ߴµ Դϴ. [1] | ongsun6 | 2020-08-11 | 1257 |
| 7314 | ũ ڸ ߴµ ƿ~^^ [6] | *ָ | 2020-08-06 | 1450 |
| 7308 | ڸ ǥع ϴ [3] | * | 2020-07-29 | 1326 |
| 7302 | ڸ 1 Ѿµ ʹ ƿ [4] | * | 2020-07-27 | 4225 |
| 7301 | źϸ λ ְ ϴ [4] | *¿ | 2020-07-26 | 1796 |
| 7300 | ũ ڸ ǥغ 9 ı [4] | * | 2020-07-22 | 1360 |
| 7299 | ڸ ǥغ 10 ı [3] | *ȣ | 2020-07-21 | 3112 |
| 7298 | ġῡ ϻȰ ù ؼҽŰ ű Դϴ. [3] | * | 2020-07-02 | 3931 |
| 7297 | 2011 ڸ ʾ ؼ ŭ Ѱ ް ٴϰ ־ [2] | * | 2020-06-29 | 2992 |
| 7296 | ڸǥغ ̰̰ [5] | * | 2020-06-24 | 3063 |
| 7295 | ڸ 5° ~~ [2] | 赿* | 2020-06-24 | 2832 |
| 7291 | ϰ ε巯 ڸ 谳 ؼ ڴ Դϴ [2] | ¿* | 2020-06-07 | 2181 |
| 7290 | ģƹ 㸮ũ Ͽ ʰ ϰ ֽϴ [3] | * | 2020-05-31 | 2416 |
| 7288 | ڸ 5 [2] | 2020-05-17 | 3453 | |
| 7286 | ڸ 4⵿ ı-ũ е鲲 õմϴ [4] | *ö | 2020-04-27 | 3419 |
| 7285 | ı [4] | ӵ* | 2020-04-20 | 4290 |
| 7281 | ڳ༮Ե ڸ , ǰ ϰ ȿ鿡 õ մϴ [5] | *ȫ | 2020-04-14 | 1444 |
| 7277 | ڸ ǥغ 10 ϰ ٽ 籸մϴ [3] | * | 2020-04-09 | 3205 |
| 7276 | ϰ ȣϴ ڸ ߾ [2] | * | 2020-04-08 | 2435 |
| 7273 | 籸մϴ. , źе ؼ [1] | ȿ | 2020-04-01 | 2161 |
| 7272 | ڸǥغ ũ µ ϰ ϰ ϴ [3] | * | 2020-03-31 | 2551 |
| 7269 | Ȩ | 2020-03-29 | 5285 | |
| 7266 | ũ ڸ ϰ ǰ ãҾ~~ [3] | * | 2020-02-24 | 2040 |
| 7263 | 10 Ѱ ̳~ [7] | * | 2020-02-22 | 2591 |
| 7261 | ũ ܹް ڸ, 㸮ũ Ʈ 2° ƿ~ [7] | 輺* | 2020-02-21 | 3854 |
| 7260 | ڸ ǥغ 8 ΰ Ű漺 ġ ı [5] | * | 2020-02-21 | 5345 |
| 7258 | ڸ ǥع ȵǴ ~~ [3] | * | 2020-02-20 | 3012 |
| 7257 | ڸ ǥغ ũ ġǴ. [3] | * | 2020-02-19 | 2715 |
| 7255 | ڸǥغ 10 ı [1] | *ȣ | 2020-02-19 | 1824 |
| 7250 | ȿ ű ٴ , | Ȩ | 2020-02-16 | 2183 |
| 7249 | 15° Դϴ. [1] | * | 2020-02-14 | 1074 |
| 7248 | ڸǥغ غ Ƽ Ƶ ϳ ַմϴ~~ [1] | KJ | 2020-02-13 | 1311 |
| 7247 | ڸ Ŀ ϸ鼭 ı ϴ [3] | â ȣ | 2020-02-08 | 1343 |
| 7246 | 10 ũ Ȱ ĵ ذ ߾. [3] | ***syhah*** | 2020-01-28 | 2579 |
| 7245 | ũ ̸ ϰԵǾ [4] | *â | 2020-01-28 | 3638 |
| 7244 | պ ̾µ ũ ް ߰մϴ. [3] | ݼ* | 2020-01-26 | 4375 |
| 7243 | ڸ ǥغ źϸ ũ û ؿ~~ [2] | *̺ | 2020-01-17 | 1376 |
| 7239 | ڸǥغ ô ϰ ϴ [1] | * | 2020-01-16 | 2673 |
| 7236 | 2008 뿡 ڸ ϰ ֽϴ [1] | ҿ* | 2020-01-05 | 2744 |
| 7234 | 10̻ ؿ Դϴ [4] | Ȳ* | 2019-11-05 | 1511 |
| 7233 | ũ ڸǥغ [3] | * | 2019-10-15 | 4878 |
| 7232 | ڸ 10 Ѱ ϰ ~ [2] | * | 2019-10-08 | 1692 |
| 7230 | 8Ⱓ ġ ʾҴ ũ,̸ġ 1ı [4] | * | 2019-10-04 | 3771 |
| 7229 | ,,, ,Ƿ ڸ ǥ ı [2] | *hunsa58* | 2019-09-25 | 2374 |
| 7228 | ũ 㸮ũ ġ 濡 ʹ Դϴ. [4] | *ֺ * | 2019-09-24 | 3675 |
| 7227 | ũ ް ڸ ǥغ 15 ı [4] | * | 2019-09-10 | 4143 |
| 7226 | ڸ ġ ¯ ڸǥغ [4] | * | 2019-09-09 | 3449 |
| 7225 | ʴ 㸮ũ Ͽ ڸ ǥغ [3] | *â | 2019-08-26 | 3051 |
| 7224 | ı ũ ڸ ȸǰ ʾҾ. [3] | *ڿ/* | 2019-08-17 | 2031 |
| 7223 | ε ȸԲ Ǿּż~~մϴ. [5] | *ź | 2019-08-14 | 3733 |
| 7222 | ȿڳ븩... [4] | * | 2019-08-09 | 2572 |
| 7221 | 10 ᵵ ڸǥغ [4] | * | 2019-08-06 | 3381 |
| 7220 | Ŀ ߰ մϴ~ [3] | * | 2019-08-05 | 2433 |
| 7219 | ־. ׳ ؿ. [3] | * | 2019-08-01 | 4001 |
| 7218 | ڸǥغ Դϴ. Դϴ. ó ϴ. [6] | * | 2019-07-31 | 5023 |
| 7217 | ڸ ũ ڸ ǥغ ı [4] | ΰ* | 2019-07-25 | 5533 |
| 7216 | ڳ ΰ ߾~ [7] | * | 2019-07-17 | 3775 |
| 7215 | Ϸ ϴ ڸǥغ, ϰ ȸϴ ģ .. [4] | ***sm085**** | 2019-07-15 | 3759 |
| 7214 | 10 ؾ Ѵٴ ũ ʰ ȸǾ ݱ ȿ ֽϴ [5] | * | 2019-07-11 | 3126 |
| 7213 | ũ 8̻ ı [3] | * | 2019-07-06 | 4371 |
| 7212 | ڸ ϴ ѹ Ͻ ȿ . [3] | ڱ* | 2019-07-03 | 4368 |
| 7211 | ũ ̸ ı [2] | * | 2019-06-24 | 2001 |
| 7210 | ڸ ʹ ƿ [3] | ȣ*l6202031 | 2019-06-18 | 3643 |
| 7208 | ũ ĿǾ ϰ ڸ ı [4] | * | 2019-06-07 | 3013 |
| 7206 | ڸ ı(ô, ڸ, ̰ ) [3] | * | 2019-06-06 | 4382 |
| 7203 | ڸ ı [3] | * | 2019-05-23 | 2194 |
| 7202 | ڰ ĵ ȯ ־ ڸǥغ ı [6] | *ڹ | 2019-05-22 | 5427 |
| 7201 | ̰ ũ Ʒ ڸǥغ Ŀ ƾ [3] | * | 2019-05-14 | 3118 |
| 7200 | [ı ߰] ù ڰϰ ġ ȣŰ ű Դϴ. [1] | * | 2019-05-10 | 2686 |
| 7199 | ̳ ȿ ڸǥغ [5] | 2019-05-08 | 5360 | |
| Re | [2ź] ߰ı [1] | * | 2019-05-10 | 2001 |
| 7196 | ũ ڸ ļ 12° ڸǥغ ϰ ֽϴ. [3] | * | 2019-05-04 | 1918 |
| 7195 | ڸ źϸ ߴµ ƿ [2] | * | 2019-04-23 | 3312 |
| 7193 | ũ ϴٰ 13Ⱓ ε ְ Դϴ [2] | 2019-04-21 | 1961 | |
| 7192 | ȯ̸ ũ 㸮ũ .. Դϴ. [2] | 339956 | 2019-04-20 | 4507 |
| 7191 | ijħ, ڸ ü ǥ Ʈ , dz ı [6] | * | 2019-04-18 | 5239 |
| 7190 | ijħ, ڸǥغ ü ǥ Ʈ , dz ı [5] | 10257538 | 2019-04-18 | 6883 |
| 7189 | [ʵ] Ϻ ġ. | Ȩ | 2019-04-14 | 20858 |
| 7188 | ũ ߺ ༺ ũ ڸǥغ [5] | *eahyuck**** | 2019-04-13 | 3566 |
| 7187 | 㸮 ڸ 7°.... [7] | *ȯ | 2019-04-13 | 4537 |
| 7185 | ũ 'λ' ڸ üǥ [3] | * | 2019-04-04 | 4195 |
| 7184 | ϴ ڸ~~ [10] | * | 2019-03-26 | 1915 |
| 7182 | ٽø ֢ ȸ մϴ~ [3] | * | 2019-03-18 | 4322 |
| 7181 | ũ Ϸ ϰ ߾~~ [3] | * | 2019-03-15 | 2758 |
| 7180 | Ƽ ٽ 籸 Ϸմϴ! ڸ ǿ!! [3] | * | 2019-03-13 | 3090 |
| 7179 | ũ ְ 㸮 Ͽ 7° Դϴ [2] | *̼ | 2019-03-05 | 5252 |
| 7178 | ļ ڸ 10 [4] | * | 2019-03-05 | 3805 |
| 7177 | ڸ 11° µ ݵ ƿ [1] | *켷 | 2019-03-04 | 1797 |
| 7176 | ڸ ǥغ 140ȣ ı(4ϻ) [1] | *õ | 2019-02-27 | 4029 |
| 7175 | ũ ڸ ݹ , ϰ 1 ũ ٰ ġ Ҿ [4] | * | 2019-02-27 | 4410 |
| 7174 | ڰ ߴµ Ƽ ı [2] | * | 2019-02-26 | 2866 |
| 7172 | ̰ 5 Ư ε ļ б ٳ~~ [4] | *ȫ | 2019-02-11 | 5691 |
| 7171 | ũ ü ؼ û Դϴ. [2] | *뼱 | 2019-02-08 | 2969 |
| 7170 | ̰ Ȯϰ ° Ȯմϴ [3] | *̼ | 2019-02-07 | 2725 |
| 7169 | Ӹ , 㸮 Ǵ ô ü ڸ ǥغ մϴ! [6] | * | 2019-01-29 | 2349 |
| 7168 | ũ ڸ ǥغ ְ Դϴ! [1] | * | 2019-01-16 | 2511 |
| 7167 | ڸ.... 缭 ϰ ־ [5] | * | 2019-01-09 | 3023 |
| 7166 | Ƴ ũ ȣǰ, 㸮ũ ü䱸.. 浵 [3] | * | 2019-01-09 | 4562 |
| 7165 | ڸ ı- ϴ [3] | *μ | 2018-12-27 | 4822 |
| 7164 | ħ ħ ߿伺 [5] | * | 2018-12-26 | 1943 |
| 7163 | ũ ް ʰ ݱ ¾ [2] | *Ȳ | 2018-12-21 | 3656 |
| 7162 | 㸮 Ͻ е鲲 κ ı [4] | *뿭 | 2018-12-13 | 2569 |
| 7161 | ļ ߺ ߾ ֽϴ [1] | 念* | 2018-12-11 | 1867 |
| 7160 | ڸ [3] | ̹* | 2018-11-29 | 3335 |
| 7159 | Ҹ ڸǥغ ı [1] | ߰* | 2018-11-25 | 1811 |
| 7158 | ũ ü Ѵٰ ߴµ ũ Ҿ [4] | *wakga** | 2018-11-20 | 3208 |
| 7157 | ũ 15° ε ϰ ֽϴ. [2] | * | 2018-11-16 | 2032 |
| 7156 | ũ ڸ 10 [2] | *ְ | 2018-11-13 | 1824 |
| 7155 | ڸ ǥغ 8 ° ְ ߰ ߾ [4] | * | 2018-11-03 | 3205 |
| 7153 | ũ ڸ ȿ ƿ [2] | *ȭ | 2018-10-31 | 2233 |
| 7152 | 10 Ƴ [5] | *ӿ | 2018-10-24 | 2589 |
| 7151 | ° Բ ϰ ־~ [8] | * | 2018-10-23 | 1796 |
| 7150 | ڸǥغ ̸ Դϴ~ [8] | * | 2018-10-23 | 1897 |
| 7149 | 10 ̻ ϰ ֽϴ. [3] | * | 2018-10-21 | 1827 |
| 7147 | ڸ Ȱ ӻ մϴ [4] | * | 2018-10-15 | 1737 |
| 7146 | ũ ġϷ ؼ 5° ϰ ֽϴ [6] | * | 2018-10-10 | 2479 |
| 7145 | ڸ ҽϴ. [4] | * | 2018-10-09 | 2126 |
| 7144 | ڸ ° Ͽ ϰ ֽϴ [6] | ּ* | 2018-09-26 | 1852 |
| 7140 | ũ 5,6 ʰ ֽϴ. [1] | * | 2018-09-01 | 2146 |
| 7138 | ڸǥغ 12° ߿~ ƴϸ ڴ... Ф [1] | * | 2018-08-30 | 1745 |
| 7137 | ũ ļټ̶ ü ϰ ֽϴ [3] | * | 2018-08-20 | 3763 |
| 7136 | ũ е鿡~ [2] | *̼ | 2018-08-14 | 3105 |
| 7134 | ڸ ǥغ п ᵵ ڰ, ϴ. [3] | * | 2018-08-09 | 2043 |
| 7133 | ٳ൵ ڸ ũ ݹ 10 ٽ ͳ [3] | * | 2018-07-07 | 2604 |
| 7132 | ũ ǰ ʹ !! [4] | * | 2018-07-06 | 4182 |
| 7131 | ũ ڸ [2] | *ڼ | 2018-07-05 | 1927 |
| 7130 | ũ ް 㸮 Ӹ ʹµ ڸ Ȯ ȿֳ [4] | * | 2018-07-04 | 4987 |
| 7128 | ũ ͳ ߴµ ϰ ϰ ֽϴ [3] | *â | 2018-07-04 | 2772 |
| 7127 | 11 ڸ ġḦ ϱ ڸ ǥغ õ 帮 ǰԴϴ. [3] | *(õ) | 2018-07-02 | 2494 |
| 7126 | ᵵ ڰ Ʈ ̸ ǹ°͵ ڸǥغ ʹ ϴ^^ [3] | *ڼ | 2018-06-29 | 2839 |
| 7125 | ũ ڸǥغ ı [8] | * | 2018-06-29 | 4261 |
| 7124 | ũ Ŀ ŷл ϰ ° ȭǰ [3] | * | 2018-06-28 | 2977 |
| 7123 | ϴϱ ϰ ϴ. [3] | * | 2018-06-22 | 1954 |
| 7122 | ڸǥغ ı-ҹ 㸮 ϴ. [5] | *뼮 | 2018-06-18 | 1852 |
| 7121 | źϸ ڸԸ ȿ õ!! [3] | *Ȳ | 2018-06-03 | 2629 |
| 7120 | ڸ ڰ̵ Դϴ~~^^ [2] | ູ | 2018-06-01 | 3510 |
| 7119 | ũü Ҵµ ϰ [3] | * | 2018-05-31 | 3016 |
| 7117 | ũ ϰ Ҹ ļ [3] | * | 2018-05-24 | 3234 |
| 7116 | ڸǥغ Դϴ^^ [3] | * | 2018-05-21 | 3552 |
| 7115 | ı - Ȳݺ Ͽ [1] | * | 2018-05-14 | 2974 |
| Re | [2] | * | 2018-05-14 | 2290 |
| 7114 | ڸ ϰ Ӹ ȾĿ. [4] | * | 2018-05-03 | 3370 |
| 7113 | ũ ڸǥغ ڸ ϴ [2] | * | 2018-04-29 | 1904 |
| 7112 | 10 Ѱ ϴµ 㿡ᵵ ߿ ϰ ƿ [2] | *ֱ | 2018-04-24 | 2460 |
| 7111 | 㸮ũ ȸ絵 ΰ Ϸ ߾µ Ϳ^^ [2] | *imhyet*** | 2018-04-23 | 5688 |
| 7110 | ༺ ũ ȸǰ 5° ߾ ϰ ־,,,~~ [3] | pslee10***** | 2018-04-23 | 4307 |
| 7109 | ũ źϸ ڸ ı [3] | * | 2018-04-21 | 3129 |
| 7108 | ڸǥغ ǰϰ ֽϴ. [5] | * | 2018-04-18 | 1928 |
| 7107 | Ȱ Ҽ ְԲ ڸǥغ մϴ [6] | * | 2018-04-17 | 7644 |
| 7104 | ༺ ũ 㸮ũ Ŀ ڸǥغ ı [4] | * | 2018-04-16 | 4436 |
| 7103 | Ʋ ߾. Ϻ ٽ ãҳ [2] | * | 2018-04-13 | 3307 |
| 7102 | ڸ ǥغ õմϴ [2] | ž* | 2018-03-29 | 1689 |
| 7101 | ,,, ,Ƿη ڸǥغ ı [3] | *翵 | 2018-03-28 | 3096 |
| 7100 | , ̸, ΰַ ڸ 4 ı [4] | * | 2018-03-27 | 4124 |
| 7099 | ڸǥغ ģ Ƽ Ѵ ı [7] | â* | 2018-03-15 | 2494 |
| 7098 | ڸ Ƿ ؼ ϰ Ǿϴ [4] | * | 2018-03-14 | 4206 |
| 7097 | ڰ Ͼ 㸮 ؼ 1 ı [3] | * | 2018-03-09 | 3343 |
| 7096 | ڸ ƿ ,ũ,Ҹ,Ƿ,,ȭ [4] | * | 2018-03-04 | 5022 |
| 7093 | Ի ϸ鼭 ڰ Ჿ Ͽ Ҹ [2] | * | 2018-03-01 | 2404 |
| 7092 | Ҽְ ϰ ϰ ִ Դϴ. [4] | *ȣ | 2018-02-26 | 3037 |
| 7091 | ȱ, ȱ, ø, , Ҹ ġı - ڶ ҽϴ. ( ȸ 帳ϴ) [5] | * | 2018-02-24 | 5852 |
| 7090 | ڸ ϸ鼭 9 Ǻ Ǽ [5] | 輱* | 2018-02-09 | 3475 |
| 7088 | ڸ Ʈ ʹ ƿ~̱ ߰ Ϸ մϴ [4] | * | 2018-02-06 | 5013 |
| 7087 | ڸ ũ ȸ Ŀ ϰ Ƽ ߰ մϴ. [3] | * | 2018-01-30 | 2742 |
| 7086 | ڸǥغ ϰ ũ ġ Ǿ [9] | * | 2018-01-25 | 2917 |
| 7085 | Իı-- ؼ [3] | *μ *ӿ | 2018-01-01 | 4576 |
| 7084 | ϴ 10Ѱ [5] | * | 2017-12-29 | 3290 |
| 7083 | ũ ϱ ̰ ϰ ϼ. [4] | **itamin** *ڰ | 2017-12-22 | 5734 |
| 7082 | ϴ ǥغ [2] | * | 2017-12-14 | 3238 |
| 7081 | 6 4 ǻ ǻ ְ ڴ ũ δȭ ó Ⱦ dz [3] | * | 2017-12-13 | 6480 |
| 7080 | ũ ڸ ô 㸮 ġᰡ ʴ ~ [3] | * | 2017-12-12 | 4406 |
| 7079 | ǻ ڸ 10 ʰ ֽϴ [3] |
âȣ* * | 2017-12-12 | 2704 |
| 7078 | 10 ı-ũ µ ʰ ݱ ߾ ֽϴ. [3] | * | 2017-12-11 | 3526 |
| 7077 | ġῡ ؼ ϴ پ ϴ ߿ ϴ. [3] | * | 2017-12-11 | 3672 |
| 7076 | 10 ũ ڸǥغ ϰ Ҿµ.. [2] | ռ1 | 2017-12-10 | 5323 |
| 7075 | ũ 䱸 ް ڸ 10 ʰ Ż ֽϴ [3] | *â * | 2017-12-09 | 2291 |
| 7074 | ǥغ ϰ ũ.Ḳ Ͽ پ Ѳ [2] | *輮 | 2017-11-29 | 6293 |
| 7073 | Ŀ Ѵٴ ũ ȭ üϸ鼭 źԴϴ. [2] |
*(uckyhi) | 2017-11-28 | 9485 |
| 7072 | ϱ .. ȸ ˷ֽ ڼ ϴ ũ [2] | * | 2017-11-27 | 5650 |
| 7071 | Ҹ ڸǥغ ϰ ȸ 1 Ǿµ ߵ ʾҽϴ. [4] | *ǿ | 2017-11-02 | 4348 |
| 7070 | ȸ ȭϰ ڸ پ [3] | * | 2017-11-01 | 4247 |
| 7069 | 㸮, ΰ ؼ ־. [5] | հ | 2017-10-31 | 5029 |
| 7068 | Ҹ Ͽ 7 ı ڸ [2] | * | 2017-10-30 | 2564 |
| 7067 | ڸ ǥغ ġ | Ȩ | 2017-10-28 | 4477 |
| 7066 | ġ 8 ص Ʋ ó.. [3] | anbaki | 2017-10-27 | 6724 |
| 7065 | ũ Ӹ ƴ϶ پ űϰ ġǴ [4] | * | 2017-10-26 | 4474 |
| 7064 | ũ.. 567 ߰Ż..ΰ ũ ް.. [4] | **0638892** | 2017-10-26 | 3694 |
| 7063 | ũ ġῡ ȿ ҽϴ [8] | *Ȳ | 2017-10-24 | 5484 |
| 7062 | ڸ õ ڸ ʹ ؿ~~ [1] | *sca60** | 2017-10-23 | 2117 |
| 7061 | ũ վ ϰ .... ¯Դϴ [3] | ֹ* | 2017-10-18 | 3919 |
| 7060 | κ ߰ մϴ~ [2] | *ksy41*** | 2017-10-08 | 2288 |
| 7059 | ũ 㸮 ϸ鼭 ڸ 20% ߰ κμƮ [2] | ڽ* ̰* | 2017-09-26 | 4750 |
| 7058 | ũ 缭 µ ƿ [2] | *̰ | 2017-09-19 | 2703 |
| 7057 | ũ κ Ʈ Ͽ ϰ ִµ ϴ [5] | *& | 2017-09-01 | 2777 |
| 7056 | ı- ȾŴϴ... [4] | *̼(*̿) | 2017-08-12 | 3507 |
| 7055 | е带 Ͽ ٽ Ϸմϴ [3] | * | 2017-08-11 | 2590 |
| 7054 | ũ ϰ ֽϴ [2] | ҿ* | 2017-08-07 | 2700 |
| 7053 | Ҹ ڸ ǥغ ϸ鼭 ϴ. [3] | * | 2017-08-03 | 3938 |
| 7052 | ı-Ʈ 10° , ӴϿ ī ϰ ֽϴ [2] | **hanelcoc*** | 2017-08-02 | 4114 |
| 7051 | ڸ ۿ ؼ [4] | ***einde*** | 2017-07-23 | 2900 |
| 7050 | ġ ٷ µ, ϰ ̸ õ . [5] | *udnamu7*** | 2017-07-15 | 6311 |
| 7049 | Ұ ڸ 10 մϴ... [2] | *â | 2017-07-08 | 3608 |
| 7048 | ڸ ڸǥغ 7 ıᆢ [3] | * | 2017-07-07 | 2187 |
| 7047 | ũ ߰ ڸ ǥغ 15° [12] | *ڻ | 2017-06-29 | 3665 |
| 7046 | ũ ް ڸ ı Դϴ ^^ [3] | * | 2017-06-28 | 4963 |
| 7045 | ̺ 10 ſ. ֽϴ [6] | *ּ | 2017-06-27 | 2401 |
| 7044 | 10 Ѱ Ͽ ǵ帳ϴ [3] | *繮 | 2017-06-25 | 2801 |
| 7043 | ڸ 5 ı--Ÿ 6ϸ 㸮 [3] | *̻ | 2017-06-24 | 6564 |
| 7042 | ڸ ǥغ ļ ġḦ .. [4] | *ֹ | 2017-06-24 | 6112 |
| 7041 | ũ ð ڸǥغ ؼ ~^^ [3] | *Ȳ | 2017-06-15 | 2693 |
| 7040 | 糭 ν ϴ . ..ѹα ڵ Ѵ. | 2017-06-15 | 3055 | |
| 7039 | ġ , Բ ֹε. | Ȩ | 2017-06-15 | 1813 |
| 7038 | 뺧л ̳ ްڴ°? | Ȩ | 2017-06-15 | 1881 |
| 7037 | ô߰ Ͻô е Ͻö ϴ~ [2] | *輭 | 2017-06-12 | 2757 |
| 7036 | 4.5 ༺ 㸮ũ ߴµ ҽϴ [2] | * | 2017-06-01 | 6380 |
| 7033 | üϰ ȸ ϸ ؾ Ѵٴ Ȳ ũ ȣ 㸮ũ ڸ. [2] | * | 2017-05-29 | 4759 |
| 7032 | ũ ڸ ǥغ ȿ , 10 ̴ [2] | *â | 2017-05-29 | 2086 |
| 7031 | ǻ簡 ġḦ ؾ ϴ°? ȸԲ Ѳ ȸŰ մϴ. | Ȩ | 2017-05-24 | 9451 |
| 7030 | Ḳ Ѹ °.. [4] | * | 2017-05-23 | 3199 |
| 7029 | ڸǥغ ũ ߰ ġ̶ ߴµ ġƽϴ [4] | *⿱ | 2017-05-21 | 5357 |
| 7028 | ũ, Ŀ ֹô е Ŵٸ õմϴ. [3] | *輺 | 2017-05-17 | 4075 |
| 7027 | ϰ źе Ͻô е鲲 Ǹ ڳ. [3] | * | 2017-05-16 | 2306 |
| 7026 | װ ֽ ȸ մϴ [3] | * | 2017-05-10 | 5366 |
| 7025 | Ŀ ڰϾ Ȯ Ǯ ֳ [3] | * | 2017-05-08 | 3353 |
| 7024 | ڸ ص ɰ ϴ [3] | * | 2017-05-02 | 3665 |
| 7023 | κ ļ µ ڸ ؿ [3] | * | 2017-05-01 | 2376 |
| 7022 | ũ Ŀ ް ڸ ǥغ Ͽ پ [3] | *õ | 2017-04-17 | 4668 |
| 7021 | ô Ŀ õ 1,200 ̻ ȯ , |
2017-04-17 | 2832 | |
| 7020 | ũ ߰ Ż ڸ õմϴ [4] | *輺 | 2017-04-16 | 4120 |
| 7019 | ũ 㸮ũ ô ڸǥغ Դϴ! [6] | * | 2017-04-09 | 9127 |
| 7018 | ߿ ڸ ǥغ ְ !! [3] | * | 2017-04-02 | 2564 |
| 7017 | ìܰ ϴ ڸ ǥغ~~ [10] | * | 2017-03-23 | 3210 |
| [1] [2] [3] [4] [5] [6] [7] [8] [9] [10] [Next] ...[12] |
|
|
ü, ǥȭ, ǥ, ۼ, , ip, ּ, ʱ, , , ,
Ѳ ϰ Ϻ ǥ ġ ƮĪ
|